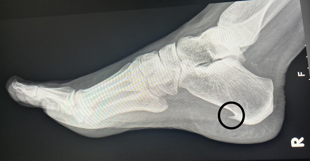
Petni trn: Uzrok, simptomi i metode liječenja
Petni trn, poznat i kao plantarni fasciitis, predstavlja jednu od najčešćih i najneugodnijih tegoba povezanih sa stopalima. Ova pojava nastaje usljed upale plantarne fascije, tkiva koje se proteže duž donjeg dijela stopala, od pete do prednjeg dijela stopala. Bol koja se javlja može biti izuzetno intenzivna i može značajno ometati svakodnevne aktivnosti, kao što su ustajanje, hodanje, pa čak i jednostavne radnje poput penjanja uz stepenice. Ovi simptomi često dovode do frustracije i kvaliteta života se može znatno smanjiti.
Neugodni osjećaji koje izaziva petni trn često su praćeni pitanjem: „Da li postoji način da se petni trn ukloni bez operacije?” Odgovor na ovo pitanje leži u razumijevanju da je sama koštana izraslina u peti relativno bezopasna. Međutim, upala i iritacija okolnog tkiva uzrokuju bol koji može biti nepodnošljiv. Osnova liječenja leži u smanjenju upale, opuštanju napetih tkiva i smanjenju pritiska na petu, čime se dugoročno olakšava stanje i poboljšava funkcija stopala.

Uzroci petnog trna
Petni trn može biti uzrokovan različitim faktorima. Prekomjerna težina je jedan od najznačajnijih rizika. Svaki kilogram viška pritisne stopala, a posebno petu, što može dovesti do upale. Prekomjerna aktivnost ili neodgovarajuća obuća, posebno tijekom sportskih aktivnosti, također mogu pridonijeti razvoju ovog problema. Na primjer, sportaši koji se bave trčanjem ili skakanjem, a ne koriste adekvatnu obuću, često su pogođeni ovom tegobom. Osim toga, starije osobe su sklonije razvoju petnog trna zbog prirodnog trošenja tkiva i gubitka elastičnosti. Genetski faktori također igraju ulogu; neki ljudi su predisponirani za razvoj problema sa stopalima zbog strukture kostiju ili načina hodanja. U konačnici, navike u hodanju i posturalne nepravilnosti mogu dodatno povećati rizik od pojave petnog trna.
Simptomi petnog trna
Simptomi petnog trna mogu varirati od blagog nelagode do intenzivne boli. Najčešće, bol se osjeća na donjem dijelu pete i može se pogoršati nakon dužeg sjedenja ili ležanja. Često se javlja i jutarnja ukočenost, koja se obično smanjuje nakon nekoliko koraka. U nekim slučajevima, bol može biti toliko jak da otežava svakodnevne aktivnosti kao što su hodanje ili stajanje. Osobe sa petnim trnom također mogu primijetiti osjetljivost na dodir ili oticanje u području pete. Zbog stalne boli, često dolazi i do kompenzacijskih obrazaca kretanja gdje osoba pokušava izbjegavati pritisak na bolnu petu, što može dovesti do problema sa zglobovima i mišićima u drugim dijelovima tijela.

Metode za ublažavanje bolova povezanih sa petnim trnom
🔹 Vježbe i istezanja: Redovno istezanje listova i plantarne fascije prepoznato je kao jedna od najučinkovitijih metoda. Vježbe poput rolanja stopala po lopti, podizanje na prste ili istezanje nožnih prstiju mogu značajno smanjiti napetost i ublažiti bol, posebno jutarnje nelagode koje mnogi pacijenti osjećaju pri prvom ustajanju iz kreveta. Uključivanje vježbi u svakodnevnu rutinu može donijeti dugoročne benefite. 🔹 Protuupalni lijekovi: Primjena lijekova kao što su ibuprofen može biti korisna u kratkoročnom smanjenju upale i olakšavanju pokreta. Ipak, važno je naglasiti da ovi lijekovi samo maskiraju simptome i ne rješavaju temeljni problem. Preporučuje se da se konzultirate sa ljekarom prije korištenja ovih lijekova zbog potencijalnih nuspojava. 🔹 Anatomska obuća i ortopedski ulošci: Odabir pravilno dizajnirane obuće može donijeti značajno olakšanje. Mnogi pacijenti primjećuju poboljšanje čim pređu na anatomski oblikovane cipele koje pružaju adekvatnu podršku peti. U slučajevima kada nije moguće promijeniti obuću, ortopedski ulošci mogu biti korisna alternativa. Ove vrste obuće ne samo da smanjuju pritisak na petu, već i poboljšavaju ukupnu stabilnost stopala. 🔹 Noćne udlage: Ove udlage pomažu u održavanju stopala u pravilnom položaju tijekom noći, sprječavajući skraćivanje fascije i smanjujući jutarnju bol koja je često najintenzivnija. Korištenje noćnih udlaga može značajno poboljšati oporavak tokom spavanja. 🔹 Led terapija (krioterapija): Primjena leda može donijeti trenutačno olakšanje, smanjujući upalu i umirujući bol, naročito nakon dužih perioda hodanja ili stajanja. Redovno korištenje leda može pomoći u smanjenju oteklina i upala te poboljšati cjelokupnu funkciju stopala. 🔹 Terapija udarnim valom: Ova moderna metoda pokazuje izuzetne rezultate u liječenju upornih slučajeva petnog trna, poboljšavajući cirkulaciju i regeneraciju tkiva. Terapija udarnim valom omogućava fokusirano liječenje oštećenih područja, a mnogi pacijenti prijavljuju smanjenje boli nakon nekoliko tretmana.
🔹 Kortikosteroidne injekcije: Ove injekcije se primjenjuju u slučajevima jakih bolova kada druge metode nisu učinkovite. Iako mogu pružiti brzo olakšanje, nije preporučljivo koristiti ih kao dugoročno rješenje zbog mogućih nuspojava, kao što su oštećenje okolnog tkiva. Važno je razgovarati s ljekarom o rizicima i koristima ovih injekcija.
Savjeti za brži oporavak
Osim specifičnih terapija, postoje i jednostavni životni savjeti koji mogu pomoći u bržem oporavku. ✔ Ako imate viška kilograma, smanjenje tjelesne težine može znatno smanjiti pritisak na petu. ✔ Sportašima se savjetuje da prilagode intenzitet treninga i prave česte pauze. ✔ Osobe koje se malo kreću trebaju uključiti lagane vježbe kako bi ojačali mišiće stopala. ✔ Ako previše vremena provodite na nogama, nastojte odmarati stopala podignuta na povišenje. Iako petni trn može predstavljati dugotrajan i iscrpljujući problem, dobra vijest je da većina pacijenata može pronaći olakšanje bez operacije. Uz disciplinu, pravilne vježbe, odgovarajuću obuću i usvajanje nekih zdravih navika, moguće je ponovo uživati u hodanju bez straha od bola. Ključno je biti strpljiv jer proces oporavka obično traje i zahtijeva vrijeme. Svaki korak bez boli predstavlja mali, ali značajan korak ka ponovnom sticanju slobode pokreta i uživanju u životu. Važno je ne žuriti i ne odustajati. Naša stopala su temelj našeg tijela i zaslužuju svu potrebnu njegu i pažnju. Kada im pružimo ono što im je potrebno, ona nam uzvraćaju olakšanim, sigurnim i bezbolnim hodom. Ne dozvolite da vas bol u peti spriječi u uživanju života. Vaša stopala vas prate kroz sve aspekte života — od svakodnevnih obaveza do najljepših trenutaka provedenih s porodicom. Petni trn ne smije postati prepreka vašim planovima i snovima. Posvetite se svom zdravlju. Uložite nekoliko minuta svakodnevno u vježbe, pametnije životne navike i njegu stopala. Budite uporni jer vaše tijelo posjeduje nevjerojatnu sposobnost oporavka. Samo mu trebate pomoći i napraviti prvi korak ka boljem životu bez bola.






