Prirodni način uklanjanja masnih izbočina ispod oka
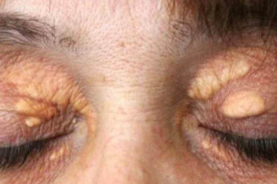
Masne izbočine, često poznate kao lipomi, mogu se pojaviti na različitim dijelovima tijela, a posebno su neugodna pojava kada se jave ispod oka. Ove izbočine obično su benigni tumori koji se sastoje od masnog tkiva. Iako nisu opasne, njihova prisutnost može izazvati zabrinutost zbog estetskog izgleda i potencijalnog utjecaja na samopouzdanje. Dok mnogi ljudi smatraju da je hirurško uklanjanje jedino rješenje, postoje i prirodni načini koji mogu pomoći u smanjenju ili čak eliminaciji ovih izbočina, a koji su često dostupni i jednostavni za primjenu.

Razlozi pojave masnih izbočina
Masne izbočine se obično formiraju kada se masne ćelije skupljaju ispod kože. Razlozi za njihovu pojavu mogu varirati, uključujući genetske predispozicije, hormonalne promjene, kao i određene zdravstvene uvjete. U nekim slučajevima, lipomi mogu biti povezani s prekomjernom težinom ili nezdravim životnim stilom. Na primjer, osobe koje se ne hrane zdravo i ne prakticiraju redovnu fizičku aktivnost mogu imati veću sklonost razvoju ovih izbočina. Takođe, lipomi se češće javljaju u starijim godinama, često se nasleđuju u porodicama, što ukazuje na moguću genetsku predispoziciju. Međutim, važno je napomenuti da oni nisu opasni i da ne predstavljaju ozbiljnu prijetnju zdravlju, ali njihova prisutnost može biti estetski problem.

Moje iskustvo s prirodnim tretmanom
Kada sam primijetila malu izbočinu ispod oka, prvotno sam pomislila da se radi o običnom prištiću. Međutim, s vremenom se izbočina povećavala, a koža oko nje postala je blago natečena. Nakon savjetovanja s dermatologom, otkrila sam da je riječ o lipomu. Iako nije bio štetan, estetski me je smetao. Počela sam razmišljati o mogućim rješenjima i odlučila da istražim prirodne metode uklanjanja. U tom trenutku, osjetila sam da su prirodni lijekovi često zapostavljeni, ali su istovremeno dostupni svakome i mogu biti efikasni.

Bijeli luk kao prirodni lijek
Jedan od najčešćih savjeta koje sam pronašla na internetu bio je korištenje bijelog luka. Poznato je da bijeli luk sadrži alicin, spoj koji ima snažna antibakterijska i protuupalna svojstva. Iako sam bila skeptična, odlučila sam isprobati ovaj prirodni lijek. Pripremila sam pastu od svježeg bijelog luka i pažljivo je stavila u gazu kako bih izbjegla iritaciju kože. Nakon što sam oblog držala nekoliko minuta, primijetila sam osjećaj topline koji je bio umirujući. Unutar nekoliko dana, izbočina se počela smanjivati, a koža je izgledala zdravije. Ovaj rezultat me ohrabrio da nastavim s tretmanima i istražim njihove dodatne prednosti.
Učinak koji je iznenadio
Nakon nekoliko dana korištenja obloga od bijelog luka, izbočina se značajno smanjila. Osjećaj zategnutosti se povukao, a koža je postala glatka i bez ožiljaka. Ovaj nevjerojatni rezultat potaknuo me je da dublje istražim kako bijeli luk djeluje na masna tkiva. Njegovi antibakterijski i protuupalni učinci pomažu u razgradnji masnih nakupina, čime se olakšava njihovo uklanjanje iz tijela. Bijeli luk pospješuje cirkulaciju i doprinosi zdravlju kože, što ga čini izvanrednim prirodnim lijekom. Shvatila sam da je tako jednostavno rješenje iz kuhinje moglo imati tako značajan učinak na moj izgled i samopouzdanje.
Ostale prirodne alternative
Osim bijelog luka, postoji i niz drugih prirodnih alternativa za rješavanje problema s masnim izbočinama. Na primjer, ricinusovo ulje, poznato po svojim protuupalnim svojstvima, može pomoći u razgradnji masnog tkiva. Ricinusovo ulje se može nanijeti direktno na izbočinu, a njegovi aktivni sastojci penetriraju u kožu, potičući cirkulaciju i smanjujući masne naslage. Takođe, kurkuma, koja se često koristi u tradicionalnoj medicini, može biti korisna. Kombinacija kurkume i meda posjeduje protuupalna svojstva koja mogu potaknuti regeneraciju tkiva. Prirodni lijekovi često nude jednostavna, ali efikasna rješenja koja se mogu primijeniti kod kuće, čime se izbjegavaju invazivni tretmani koji mogu nositi rizik od komplikacija.
Zaključak: Priroda kao najbolji lijek
U trenutku kada se suočavamo s manjim kožnim problemima, često zaboravljamo na potencijalne prednosti koje prirodni lijekovi mogu donijeti. Bijeli luk nije samo sastojak u našim jelima, već i snažan saveznik u borbi protiv masnih izbočina. Ova iskustva su me naučila da ponekad, jednostavna rješenja iz naše kuhinje mogu imati izvanredne rezultate. Ako se i vi suočavate s problemom masnih izbočina, razmislite o prirodnim metodama prije nego što se odlučite za invazivne tretmane. Ponekad je priroda najbolji lijek koji možemo pronaći. U svijetu gdje se sve više ljudi okreće alternativnim pristupima, važno je istražiti sve mogućnosti koje nam priroda nudi i ne zaboraviti na snagu koju prirodni sastojci mogu imati na naše zdravlje i izgled.






