Oglasi - Advertisement

Promjene na koži oko očiju: Šta nam naše tijelo pokušava reći?

U ovom članku osvrnut ćemo se na promjene koje se javljaju na koži oko očiju i kako te promjene mogu biti indikatori unutrašnjih zdravstvenih problema. Većina ljudi često prikazuje kožu kao samo spoljašnji aspekt ljepote, ali ona zapravo može otkriti mnogo više o našem zdravlju nego što to na prvi pogled izgleda. Osim što je koža naša prva linija odbrane protiv spoljašnjih uticaja, ona takođe reflektuje naše emocionalno i fizičko stanje.

Jedna od najčešćih promjena koje se javljaju na koži oko očiju je pojava pufnastih podočnjaka. Ovi podočnjaci mogu biti rezultat nedostatka sna, stresa ili čak dehidracije. No, ponekad oni mogu signalizirati ozbiljnije zdravstvene probleme, poput alergija ili problema sa bubrezima. Na primjer, ako primijetite da su vaši podočnjaci postali izraženiji, to može značiti da vaše tijelo ne može efikasno da izlučuje toksične materije. U takvim slučajevima, važno je obratiti se stručnjaku koji može procijeniti stanje.

Sadržaj se nastavlja nakon oglasa

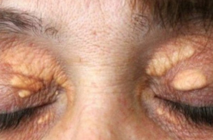
Ova priča govori o jednoj ženi, Mariji, koja je iznenada uočila neobičnu promjenu na svom licu. Naime, primijetila je sitno žućkasto zadebljanje ispod oka. Na početku je pomislila da se radi o nečemu bezazlenom — možda umoru ili alergiji — i nije joj pridavala previše pažnje. Međutim, kako je vrijeme prolazilo, zadebljanje se nije povuklo, a to ju je počelo brinuti. Ova situacija može se činiti trivijalnom, ali upravo ovakvi simptomi, koji ne izazivaju bol ili nelagodu, često su najvažniji i zaslužuju da ih ozbiljno shvatimo.

Kada je razgovarala s prijateljima i porodicom, shvatila je da niko nije imao konkretne odgovore na njena pitanja. To ju je potaknulo da započne vlastito istraživanje na internetu. Tokom pretrage, naišla je na informaciju da promjene ispod očiju, posebno one žućkaste boje, mogu ukazivati na povišene nivoe masti u krvi. Ovaj podatak ju je nagnala da potraži savjet stručnjaka, i kako se ispostavilo, to je bila mudra odluka koja je mogla promijeniti njen život. Prvo je posjetila dermatologa, koji joj je preporučio da se javi internisti za daljnje pretrage.

Ljekar joj je objasnio da promjene na koži često reflektuju unutrašnje stanje tijela. Na primjer, masne naslage oko očiju mogu biti povezane s povišenim holesterolom, promjenama u metabolizmu ili genetskom predispozicijom. Također, postojale su i druge promjene koje su mogle biti indikator problema, poput suhe kože ili crvenila, što može ukazivati na alergijske reakcije ili hormonalne promjene. Ova spoznaja bila je šok za našu junakinju, koja je uvjerenja da se takve stvari javljaju samo kod starijih osoba ili onih s nezdravim životnim stilom.

Nakon što je dobila rezultate analiza, jasno je shvatila da je vrijeme za promjenu. Nivoi masti u krvi bili su nešto viši nego prije, što je moglo biti rezultat loših prehrambenih navika i nedostatka fizičke aktivnosti. Ljekar joj je objasnio da, iako promjene na koži nisu same po sebi opasne, one mogu biti značajne za prepoznavanje trenutka kad je potrebno prilagoditi svoje navike. Umjesto drastičnih dijeta i promjena, počela je unosi male, ali značajne promjene u svoj način života. Izbacila je gazirane napitke i počela konzumirati više vode, što je pozitivno uticalo na njenu kožu.

Prešla je na zdraviju ishranu: više svježih voća i povrća, manje prerađene hrane, a uz to je počela piti više vode i smanjiti unos slatkiša. Također je uvela lagane fizičke aktivnosti koje su joj postale način održavanja zdravlja, umjesto obaveze. Ove promjene uključivale su svakodnevne šetnje i vježbe disanja koje su joj pomagale da smanji stres. Kako su dani prolazili, primijetila je da se ne samo njen izgled poboljšava, već i njeno opće zdravstveno stanje. Imala je više energije, bolju koncentraciju i osjećala se lakše nakon obroka. Postepene promjene donijele su rezultate, iako nisu došle preko noći.

Na kraju, shvatila je da je koža oko očiju jedan od najosjetljivijih dijelova tijela i da se s njom treba postupati s posebnom pažnjom. Umjesto da se oslanja na brze i često neefikasne kućne metode, fokusirala se na ono što joj je ljekar savjetovao — brigu o zdravlju iznutra, a ne samo na estetske tretmane. Ova promjena u pristupu donijela joj je ne samo fizičke, već i emocionalne benefite. Osjećala je veću povezanost sa sobom, a svaka mala promjena postala je dio njenog svakodnevnog rituala.

Na kraju, njen put kroz ove promjene nije bio samo o izgledu, već o razumijevanju signala koje joj tijelo šalje. Naučila je cijeniti sve male promjene koje se dešavaju i prepoznati ih kao poziv na akciju. Ovaj proces je bio transformativan, a njena priča može poslužiti kao inspiracija svakome ko se suočava s sličnim problemima. U današnjem svijetu, u kojem često žurimo i zanemarujemo svoje tijelo, njena poruka je jasna: briga o koži počinje brigom o cijelom tijelu. Svaka promjena, ma koliko mala bila, može biti ključna za naše opće zdravlje i blagostanje.

Na kraju, svi trebamo imati na umu da je zdravlje investicija, a ne trošak. Ako primijetite bilo kakve promjene na svojoj koži ili tijelu, potražite savjet stručnjaka. Nikada nije kasno da počnete brinuti o sebi — najbolji trenutak je upravo sada. Uzimanje vremena za brigu o sebi može značiti razliku između trenutnog zadovoljstva i dugoročne dobrobiti. Pravi put do zdravlja zahtijeva volju i istrajnost, ali isplati se — za vas i vašu kožu.

POKLANJAMO TI BESPLATNU KNJIGU!

Upiši svoj e-mail i preuzmi BESPLATNU knjigu 'Bogati otac, siromašni otac'! Saznaj kako korak po korak doći do finansijske slobode i izgraditi život iz snova!

Jedan klik do tvoje knjige i novih prilika!